Dental Foundation training South East London scheme study days
These included team building, communication, photography, endodontics, composite and amalgam restorations, oral surgery, prosthodontics and paediatric dentistry Through these courses I was able to improve on my knowledge and skills from university and implement them in my everyday practice. I have also been keeping a photographic record of my work throughout this year which allows me to reflect on what went well and what I can improve on in the future. space to display your timeline of professional development
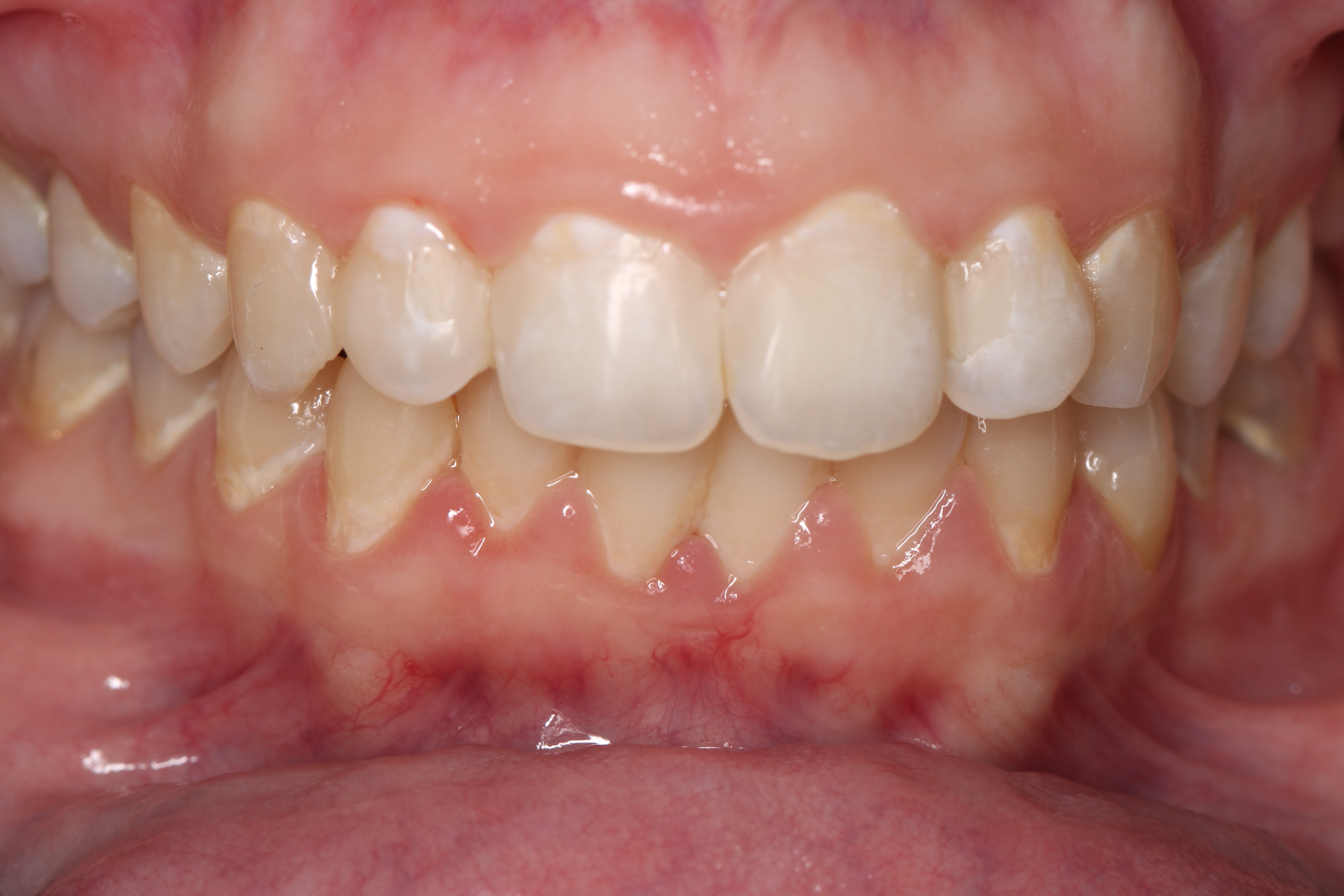
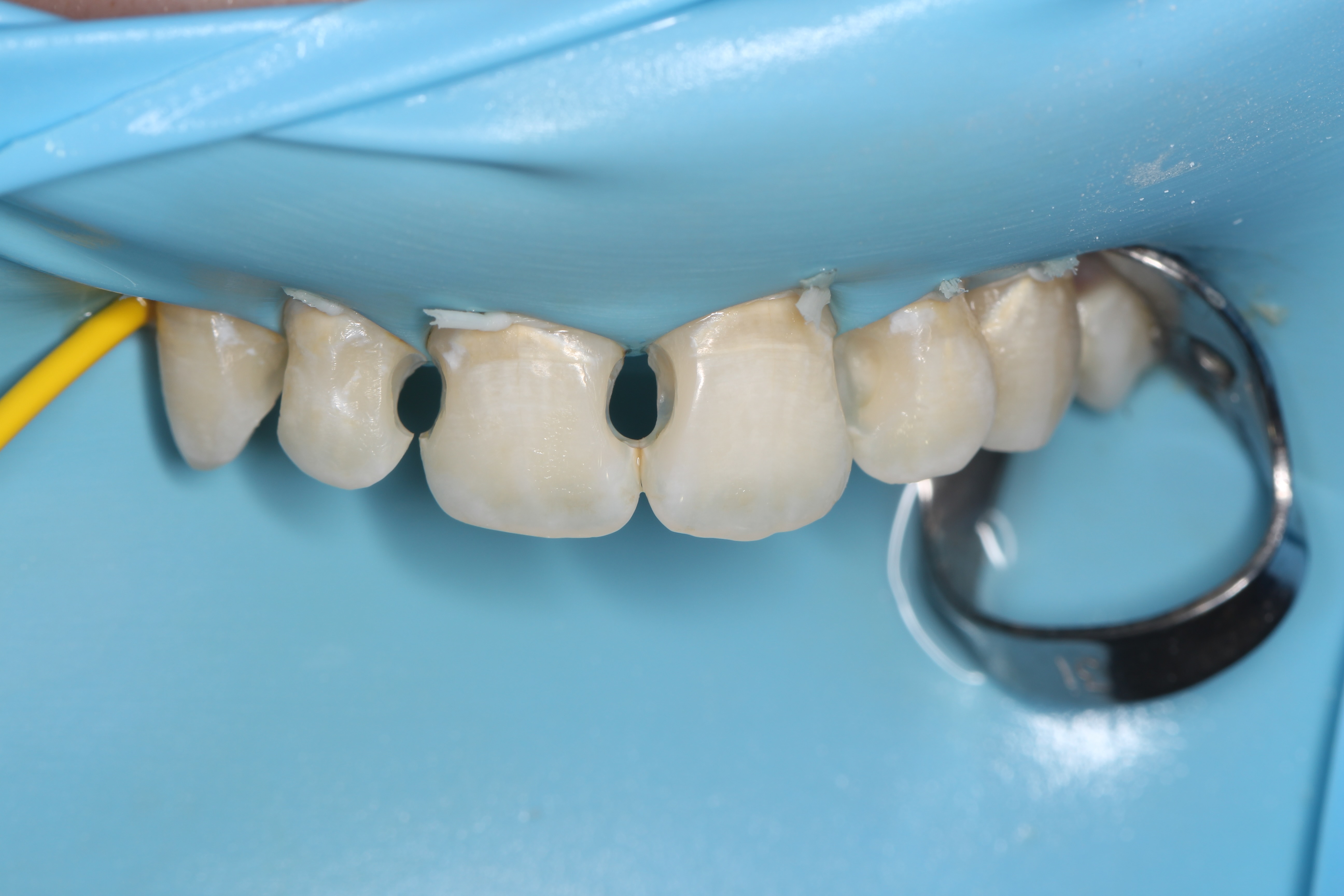
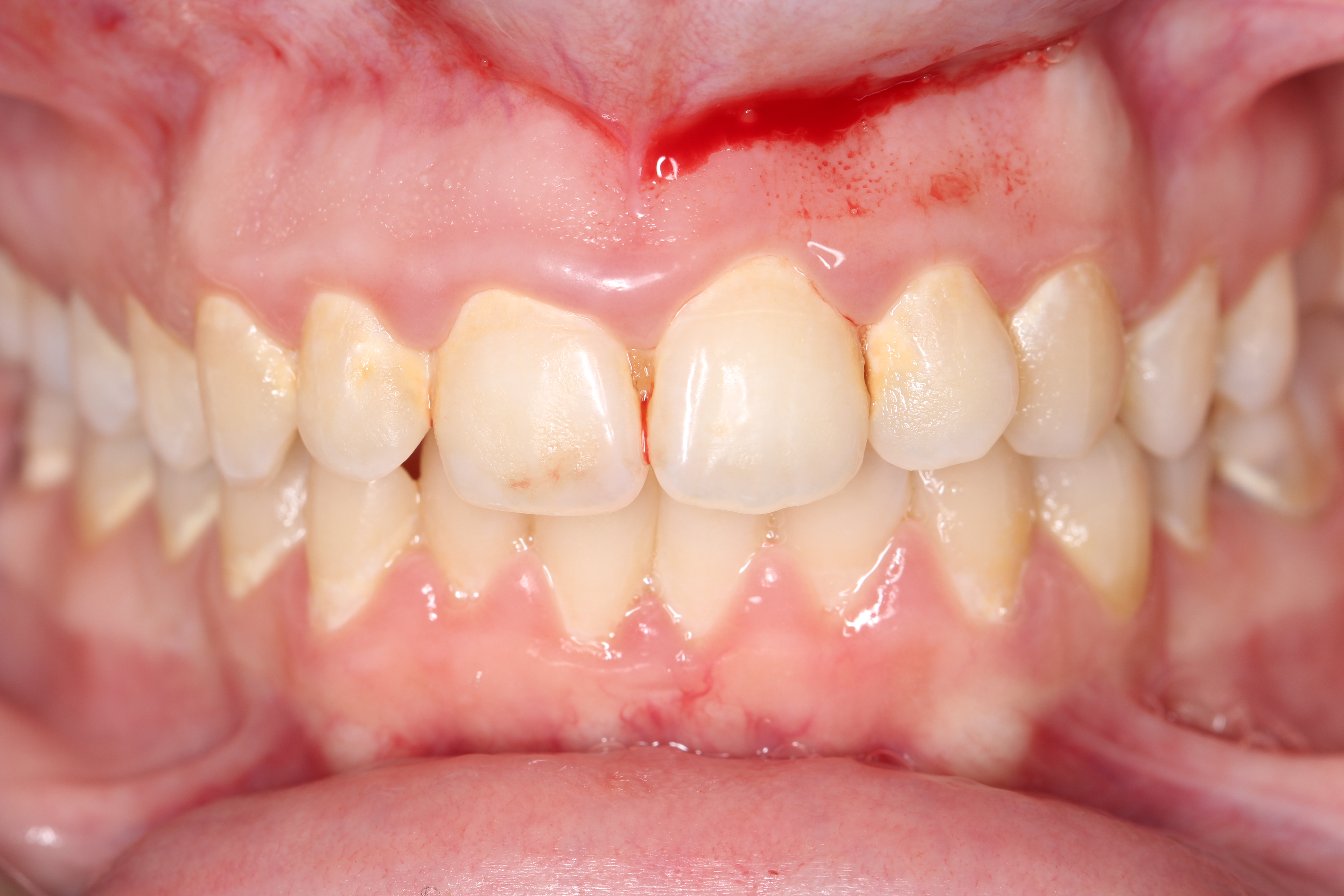
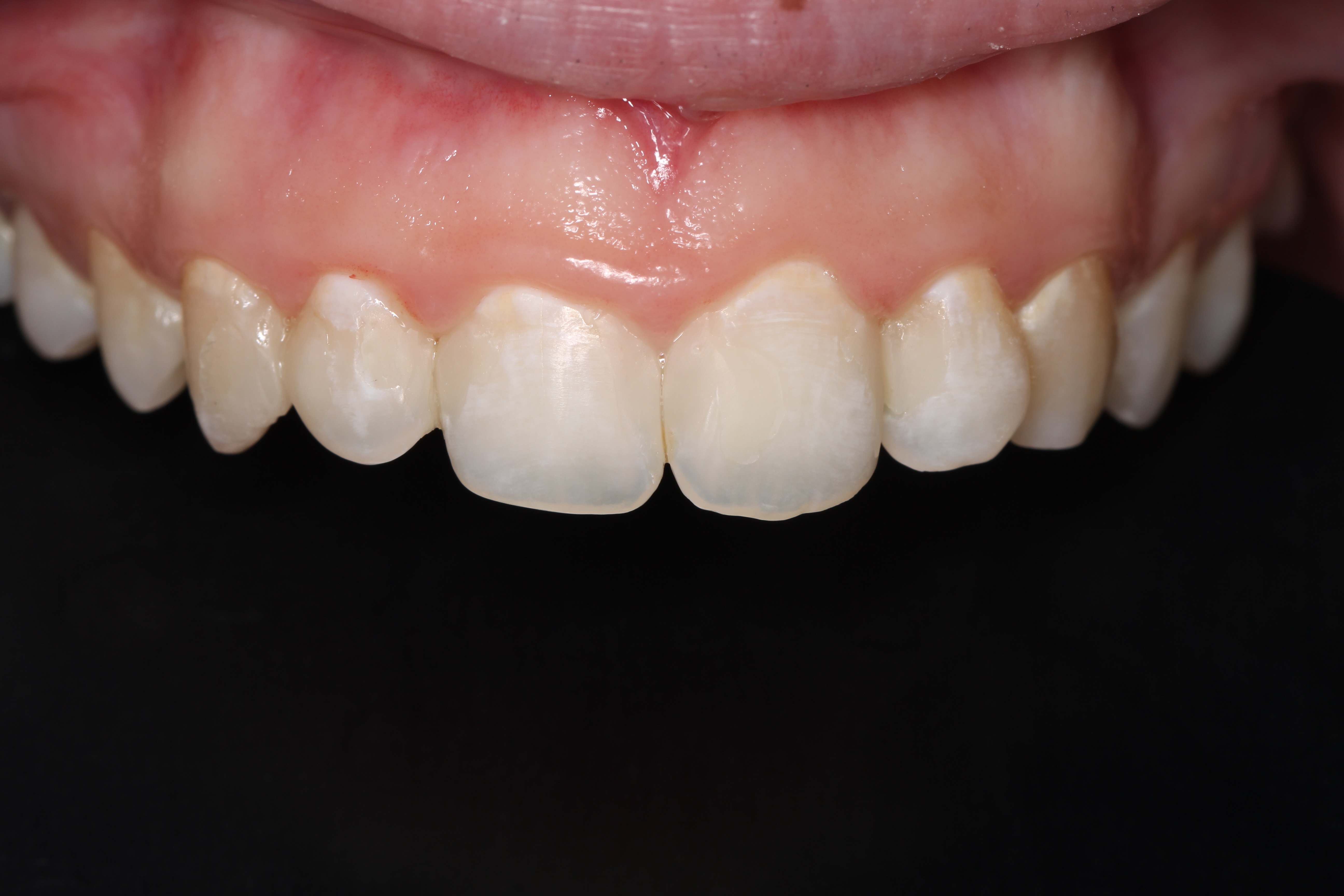
Anterior ceramic crowns and smile design by Mr Stefano Del Monte
From this course, I learned the whole workflow involving designing crowns for an aesthetic case. I learned how to work alongside the lab to create digital smile wax-ups, how to manage patient expectations and prepare teeth quickly and effectively for anterior crowns and veneers.play your timeline of professional development
Institute of Digital Dentistry - online CPD courses
I have been carrying out the online CPD webinars to familiarise myself with the workflow and processes of digital dentistry. Through this I have begun to learn important skills associated with intraoral scanning and tooth preparation principles to equip myself with this knowledge before I begin to implement digital workflows in my clinical practice.
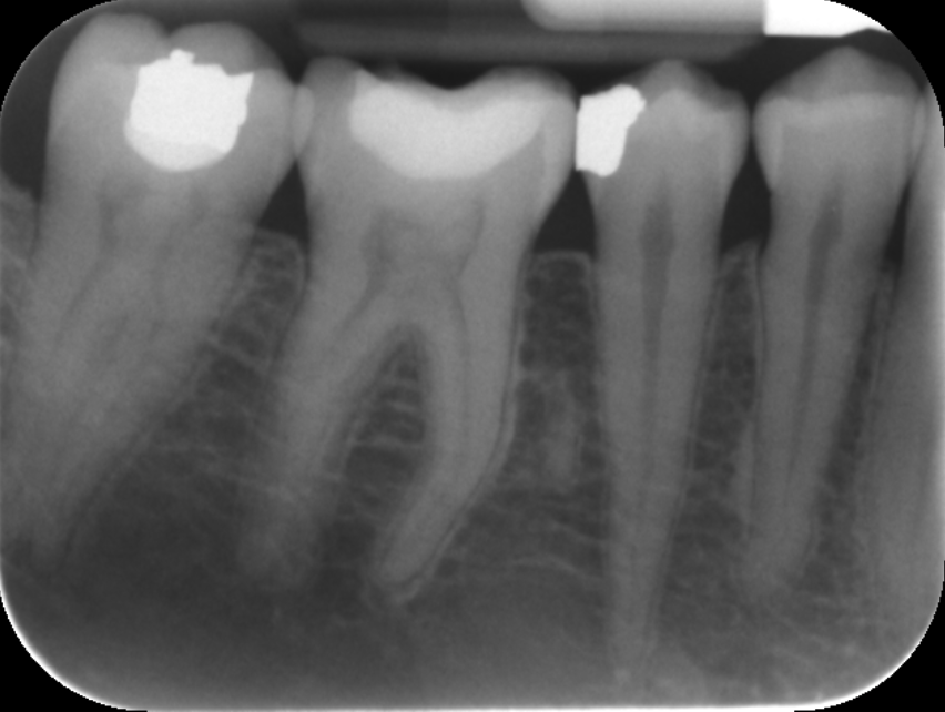
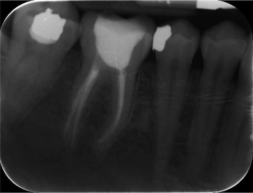
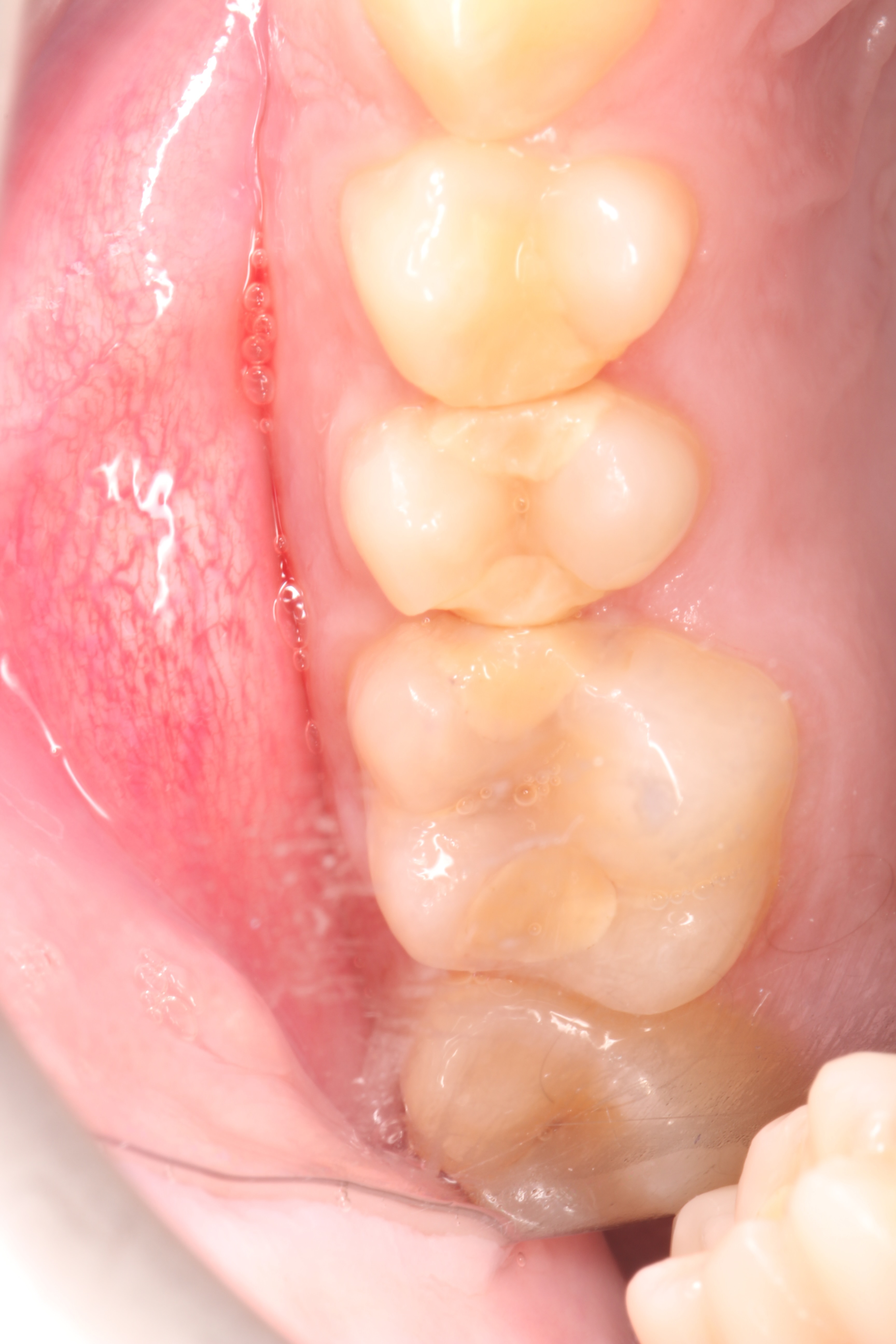
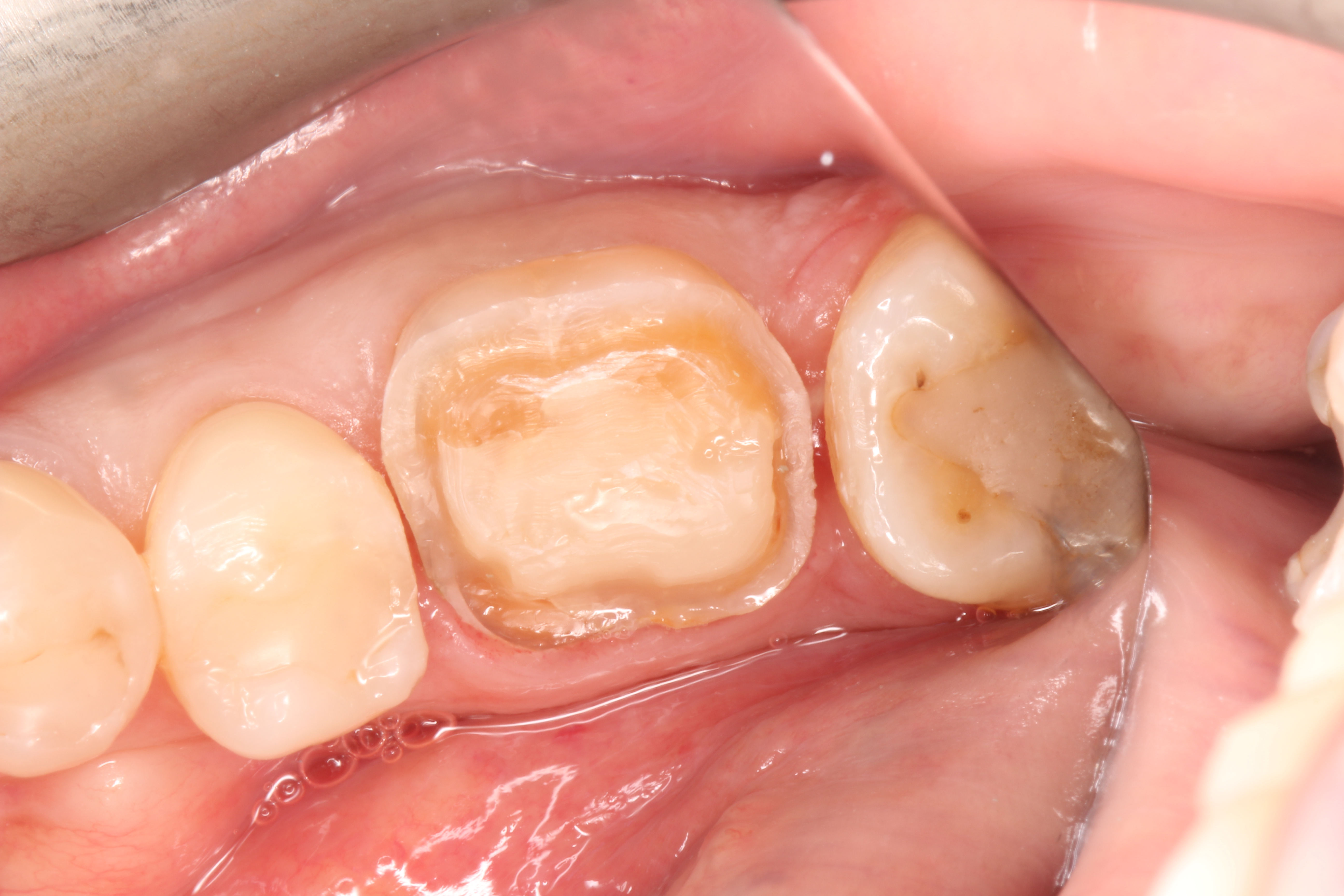
Crowns and onlays by Professor Brian Millar
This course solidified my knowledge and allowed me to practice various cuspal coverage treatments including overlays, onlays and vonlays. I was able to learn about the different preparation techniques and margins required for each indirect material.









