Top

ABOUT ME

I am a passionate and caring dentist that aims to provide to my patients evidence-based dental treatments of high standards and for this reason I invest a lot in dental training, equipment and materials. I particularly enjoy restorative and minimally-invasive dentistry and also root canal treatments.  I always try to spend time with my patients, put them at ease and find the best way to meet their needs.

I grew up in Athens (Greece) where I studied Dentistry too. In 2015, I graduated with a 2:1 Doctor of Dental Surgery (DDS) degree from the School of Dentistry of the University of Athens.

During my undergraduate studies, I was an undergraduate teaching assistant in the Department of Operative and Restorative Dentistry of the University of Athens for a few years where I was involved in the pre-clinical and clinical training of my fellow younger dental students.

Back in Greece, I started my Private dental practice in November 2015.

Moreover, I was a Ph.D. candidate in Oral Medicine at the Medical School of the University of Athens. During those years, I gained valuable experience in Oral Medicine and Oral Cancer while working at the Andreas Syggros Hospital of Venereal & Dermatological Diseases. Whereby I was part of the team delivering oral medicine clinics for three years.

Throughout the years, I have attended many National (Greek) and International Dental Congresses in Rome, Paris, Belgrade and Bucharest. During some of them, I participated in presenting clinical cases and literature reviews on various dental topics.

In January 2017 I decided to move to the UK, and I have been working in Lincolnshire since then.

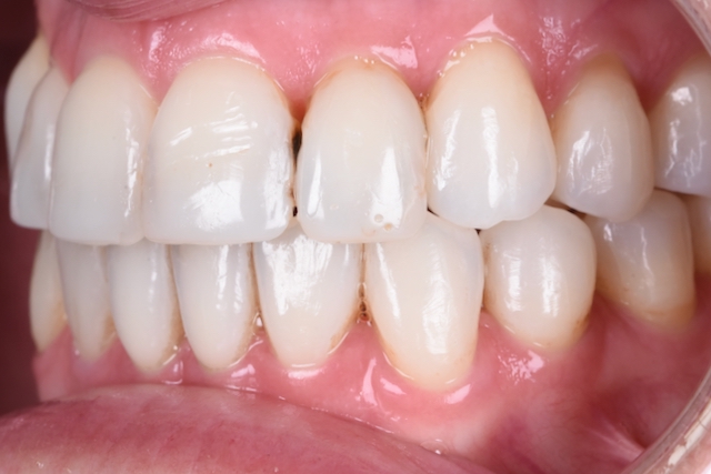
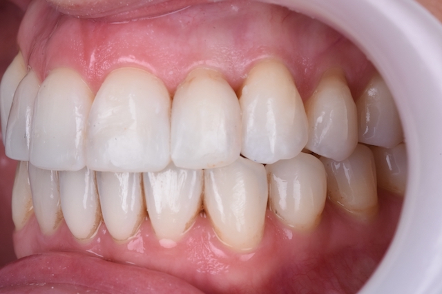
I have an interest in Invisalign, Cosmetic Restorative Dentistry, Oral Medicine, and Endodontics. I have completed my second Postgraduate Certificate in Advanced Restorative and Aesthetic Dentistry and the BioClear Level 3 & 4 Composite Method from the Dominic Hassall Training Institute.

Outside of dentistry, I enjoy going to the gym, tennis, cycling, photography, cooking, travelling/exploring places, and spending time with my fiancée and our families.

MY PORTFOLIO

Education

  • Doctor of Dental Surgery (DDS) School of Dentistry, University of Athens (Greece) – 2015
  • PG Cert in Contemporary Restorative & Aesthetic Dentistry – Dominic Hassall Training Institute, UK - 2020
  • PG Cert in Advanced Restorative & Aesthetic Dentistry – Dominic Hassall Training Institute, UK - 2021

QUALIFICATIONS

Invisalign iGO

Manchester, 2017

BioClear Composite Technique Levels 1 to Level 4 Accreditation

International BioClear Training Centre in Solihull- 2021

Invisalign Comprehensive

UK, 2022

Suresmile Clear Aligners

Nottingham, 2022

First FIT – Guided Porcelain Veneer Smile Makeovers (Same Day Smiles by Avant Garde)

London, 2023

Angel Aligners

2025

PROFESSIONAL DEVELOPMENT

2019
Totally Composite, Composite Bonding Course

by the well-known Cosmetic Dentist Dr Monik Vasant in London

Biologically Oriented Tooth Preparation (B.O.P.T)

Headrow Academy, Leeds

2022
2023
Injection moulding composite makeovers (Same Day Smile)

Avant Garde, London

The Splint Course

By Dr Jaz Gulati, UK

2023
2024
OCCLUSION BASICS AND BEYOND (OBAB)

IAS Academy, UK ( Dr Jaz Gulati / Dr Mahmoud Ibrahim)

FIRST CERTIFICATE IN IMPLANT DENTISTRY

European Association of Integration (EAO) – a 6-month comprehensive theoretical course for interdisciplinary implant care planning.

2024
2024
Art of Resin

by the Internationally well-known Cosmetic Dentist Dr Rhodri Thomas, London

DRMR Mentorship in Cosmetic Dentistry & Porcelain Veneers

by the well-known Dr Manrina Rhode, a leading Cosmetic Dentist and Porcelain Veneer expert in London

2024
2025
Art of Ceramics

by the Internationally well-known Cosmetic Dentists Dr Rhodri Thomas (UK) and Dr Andi Miro from APA Aesthetics in Beverly Hills, California

SimplyEndo

10 -day course

2025

WORK EXPERIENCE

Associate NHS Dentist

Lincolnshire 2017-2021

Associate Private Dentist (General and Cosmetic Dentistry)

Dental Health and Implant Centre, Grantham, January 2021 -2023

Associate Private Dentist ( Cosmetic Cases and DwSI in Endodontics)

Lincoln Implant Studio, Lincoln, July 2022- July 2023

Associate General and Cosmetic Dentist

Heckington Dental Practice (ELEGANT SMILES GROUP) September 2021 -Present

EXTRA-CURRICULAR ACHIEVEMENTS

2010
Undergraduate Laboratory Teaching Assistant

Anatomy Laboratory, School of Dentistry, University of Athens (Supervisor: Prof. Evangelos N. Manolis M.D, PhD, A.A.S, M.E.E.I, Harvard Medical School)

Undergraduate Preclinical-Laboratory Teaching Assistant,

Department of Operative Dentistry, School of Dentistry, University of Athens (2012-2014)

2012
2015
Preclinical-Laboratory Teaching Assistant

Department of Operative Dentistry, School of Dentistry, University of Athens

PUBLICATIONS

Gkomozias Th, Silvestros S, Chronopoulos V, Vrochari A, Massey W. Double-partial thickness buccally sliding flap for soft tissue augmentation after implant placement in combination with ridge bone augmentation. Clin. Oral Impl. Res. 25 (Suppl. 10) 2014/ 259-260

https://onlinelibrary.wiley.com/toc/16000501/2014/25/s10

Moldovani D, Petropoulou A, Gkomozias Th, Vrochari A, Silvestros S. Reconstruction of keratinized gingiva around implants: A case report. 10 years’ follow-up. Clin. Oral Impl. Res. 25 (Suppl. 10) 2014/ 259-260

https://onlinelibrary.wiley.com/toc/16000501/2014/25/s10

Gkomozias Th, Kolovos D, Moldovani D, Chronopoulos V, Silvestros S. The management of Schneiderian Membrane Perforation and delayed implant placement. A Case Report. Clin. Oral Impl. Res 25 (Suppl. 10) 2014/ 357-358

https://onlinelibrary.wiley.com/toc/16000501/2014/25/s10

Kalaitzoglou M, Moldovani D, Gkomozias Th, Kolovos D, Mamalis A. Loss of pulp vitality after Maxillary Sinus Augmentation. Clin. Oral Impl. Res. 25 (Suppl. 10) 2014/ 358

https://onlinelibrary.wiley.com/toc/16000501/2014/25/s10

TitleAthanasopoulou D, Gkomozias T, Kokla E, Vakou D, Chronopoulos V, Silvestros S. Implant failure caused by a periapical cyst of adjacent tooth. Clin. Oral Impl. Res. 27 (Suppl. 13) 2016/ 487

https://onlinelibrary.wiley.com/toc/16000501/27/S13