The Carlton Gold Medal
Awarded to the student deemed to have performed the best over the five-year undergraduate program
The Sir Arthur Thompson Trust Prize x3
Achieved the highest marks in 3rd, 4th and 5th year of dental school
The Gerry Flaum Prize in Oral Surgery and Sedation
Awarded to the undergraduate student who performed the best in oral surgery over the five-year program
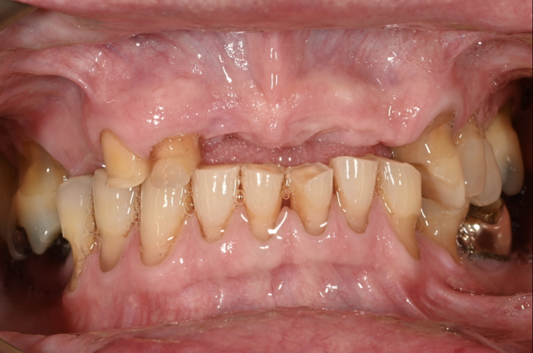
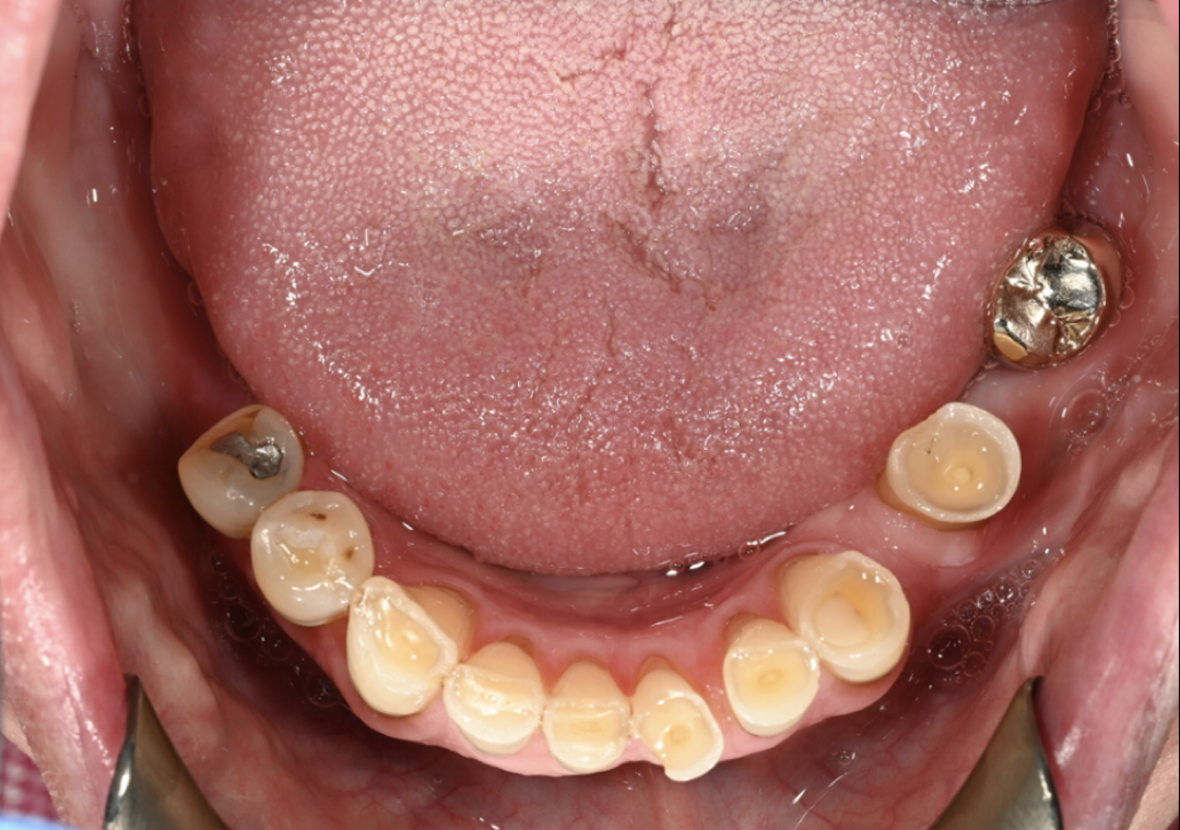
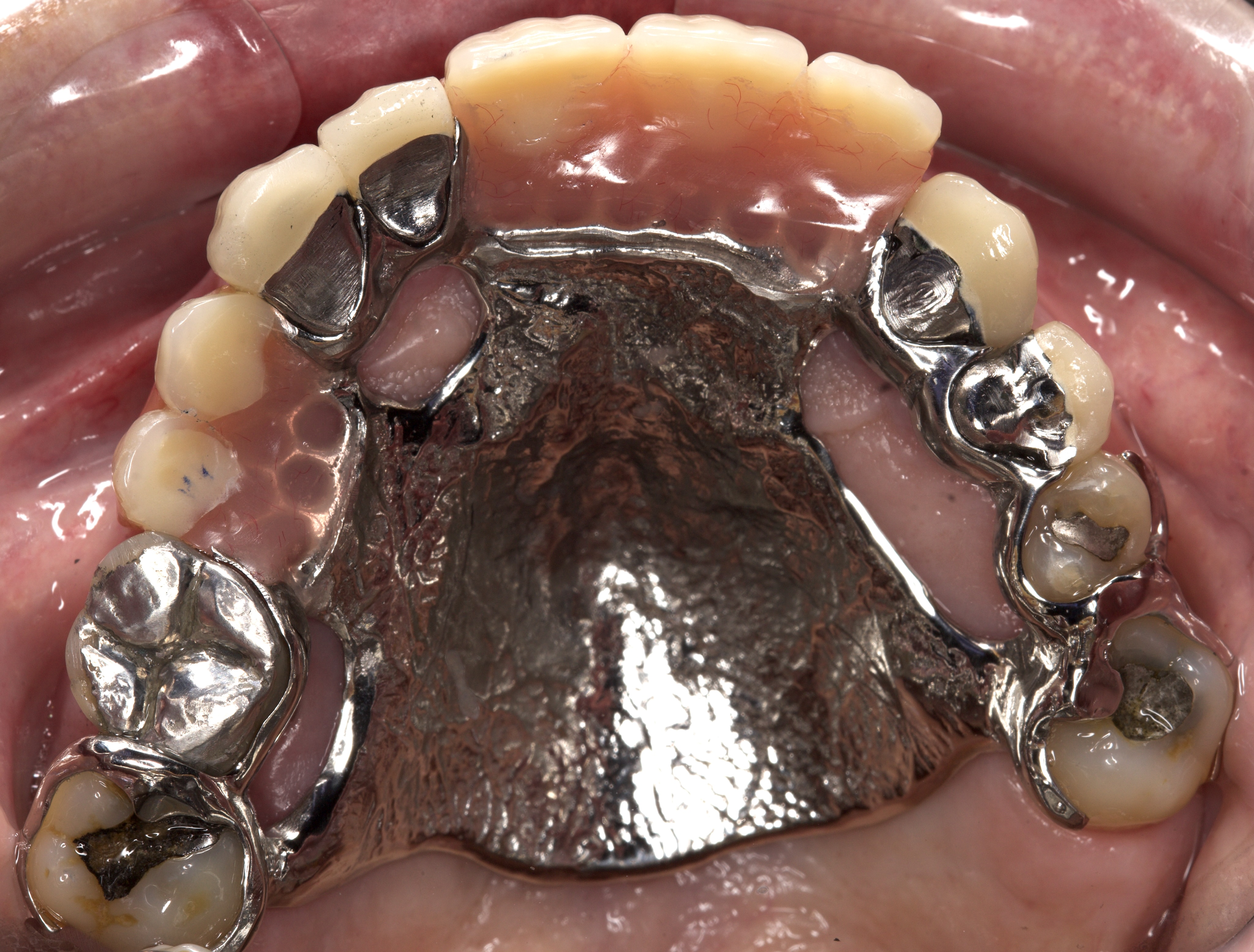
The BDA Restorative Prize
Awarded to the undergraduate student who performed the best in restorative dentistry over the five-year program
The Edgar Manley Prize in Pathology
Awarded to the Undergraduate student who performed the best in dental pathology
The Pre-clinical Dental Scholarship
Awarded to the student who performed the best during the 1st and 2nd years































