Dentures - Primary Impressions
Attended the Centre of Dental Excellence CPD event (2 hours) regarding key principles of primary impression taking for complete and partial dentures
Elevate Your Overlays (Inspire Dental Academy)
Overlay and Onlays Course by Style Italiano speaker at the ACE Venue (Stanmore)
BSSPD Conference
Attended the British Society of Prosthodontics Annual Conference (12 hours of verifiable CPD)
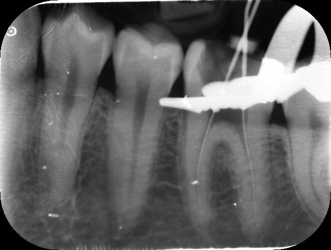
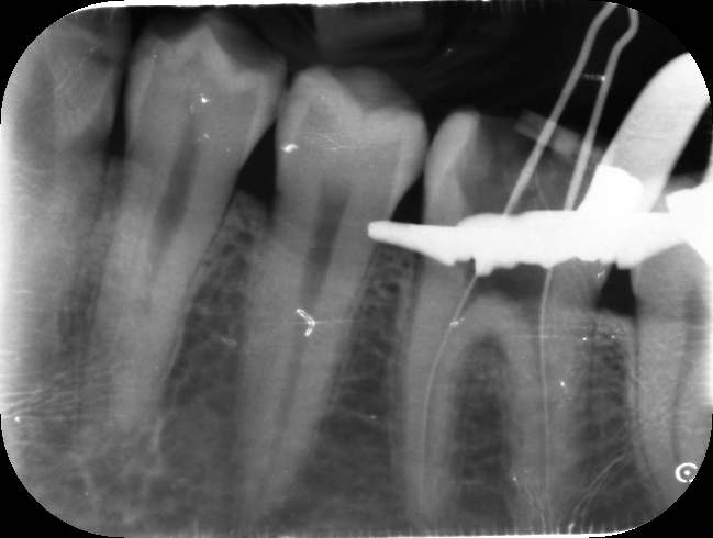
Resto-Endo; The Pre-Endo Buildup
Resto-Endo CPD evening (invitation only) held by Fulham Road Dental, led by Dr Viktor Pietraszewski and Dr George Cheetham
Dentorama
Attended Dentorama 2023 and 2024
Fast Tracking Your Future
Attended the Fast Tracking Your Future Conference with talks from key speakers in dentistry
BACD Young Dentist Day
BACD Conference with key CPD and seminars
Resonate Course
Introduction to Communication and Treatment Planning Course
YITI Spotlight Event
YITI (Young International Team for Implantology) CPD Spotlight Event

































































.png)














