Top

ABOUT ME

I am a recent graduate from King's College London, starting my Foundation Training in Southeast London. I am passionate about improving all aspects of general dentistry, and my clinical experience at university has made me most confident in my restorative and removable prosthodontic work.

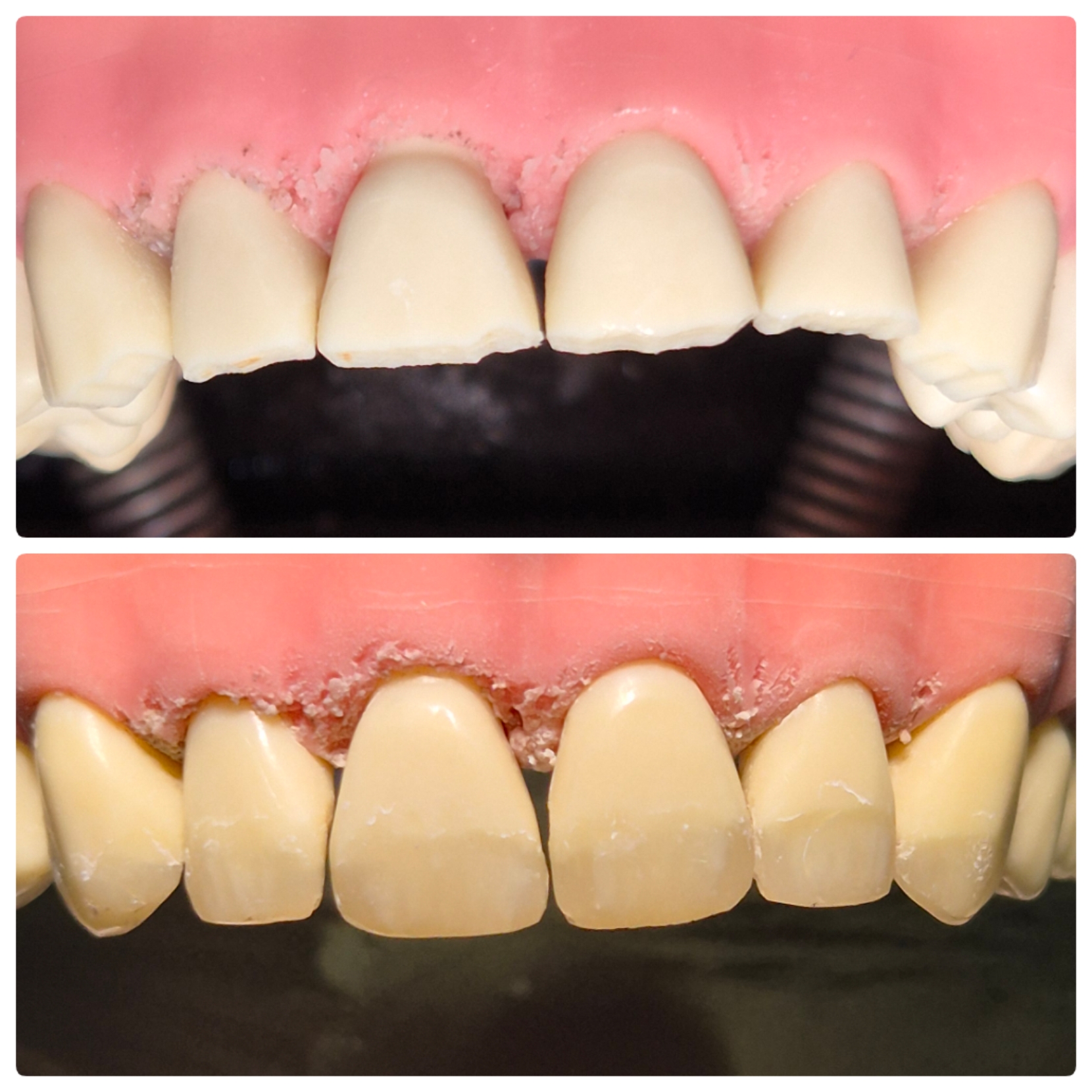
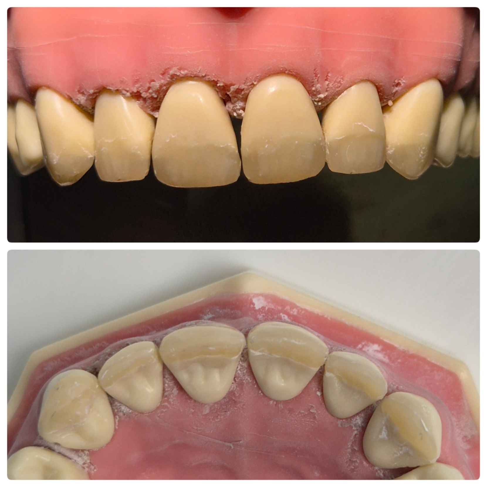
I have documented my clinical cases and progress throughout dental school on Instagram, and I also host a podcast called Craftsmanship where I discuss clinical dentistry with other clinicians and share my own journey. In the portfolio below I share some of my finest simulated work and most transformational clinical patient cases from dental school.

Outside of dentistry, I enjoy powerlifting, teaching and photography.

MY PORTFOLIO

Education

  • BDS (King's College London)
  • AKC - Associate of King's College

PROFESSIONAL DEVELOPMENT

2020
Enrolled in Dentistry at King's College London

Achieved A*AA in Biology, Chemistry and Maths, respectively to receive my dentistry offer and start dental school.

Graduated with my BDS Degree

Use this space to display your timeline of professional development

2025

WORK EXPERIENCE

Broadway Dental Practice

Shadowed Dr Martin Hussain in a mixed practice in Catford for 3 hours every week during the 2018-2019 academic year.

Dental Elegance

Shadowed Dr Zain Rizvi in private practice for two days during my third year of dental school.

Merivale Dental Practice

Shadowed Dr Zain Rizvi in private practice for one week during my dental school elective.

EXTRA-CURRICULAR ACHIEVEMENTS

2018
Title

Use this space to share any extra-curricular achievements with potential employers

Title

Use this space to share any extra-curricular achievements with potential employers

2019
2020
Title

Use this space to share any extra-curricular achievements with potential employers

Title

Use this space to share any extra-curricular achievements with potential employers

2021
2022
Title

Use this space to share any extra-curricular achievements with potential employers

Title

Use this space to share any extra-curricular achievements with potential employers

2023

PUBLICATIONS